top of page
Dr Ciara Ennis
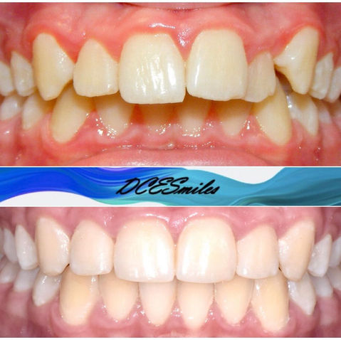
Dentexcel的传统正畸治疗由伦敦知名传统正畸专家Dr Ciara Ennis负责。
Ciara医生是屡次获奖的Specialist Orthodontist,她拥有良好的面部审美和卓越的专业技术,为客户提供兼具美学和健康的牙齿矫正服务。
Dr Ciara毕业于爱尔兰的University College Cork,之后在Royal College of Surgeons接受传统正畸的训练,获得了正畸的Specialist专家头衔。
Ciara医生拥有十余年正畸治疗经验,多次发表国家级和国际论文。她擅长复杂的矫正案例,精通儿童正畸和正颌正畸联合治疗。
治疗项目:
-
钢丝牙套
-
陶瓷牙套
-
舌内侧牙套
-
正颌正畸
-
在诊钢牙患者提供继续矫正和常规复诊
















