在英国戴隐适美 为什么快30岁决定整牙?
- 隐适美体验客户

- 2021年1月14日
- 讀畢需時 3 分鐘
已更新:2023年5月11日
因为这个投资是值得的!
小时候家里一直对牙齿美观不重视,所以我没能在青少年时期矫正牙齿,工作了之后不美观的牙齿一直是我的心病。终于我在奔三的路上开启了自己的牙齿矫正之路,戴了一段时间隐适美牙套后牙齿位置已经有了惊喜的变化,打卡记录一下整牙历程,也鼓励和我一样的想要整牙的大龄女青年勇敢地踏出这一步。
什么是隐适美
通俗的说就是透明隐形的牙齿矫正器,相比钢牙来说,隐适美会美观很多,吃饭时可以取下来,清洁比较简单,而且痛苦也相对少一点。不过缺点是隐适美是非常考验毅力和自制力的矫正方式,你每天要保证佩戴18小时以上来保证效果。

我为什么选择隐适美
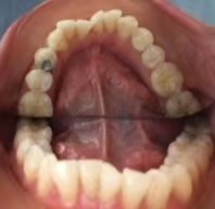
对比了一下国内和英国的隐适美价格,我发现隐适美在英国比较便宜,而且英国医生设计的方案治疗时间比较短,不需要动辄两三年。我的下牙比较拥挤(你们见过呈W形状的牙列吗…见图片),上门牙突出,又很长,还有一颗倔强有个性的门牙呈45度旋转。医生给我推荐的方案时间都控制在了一年内。
医生的选择
我是在隐适美官网找到我的医生的,我的诉求是医生是要有经验的钻石级医生,并且医院位置在比较便利的地方。我最后选择了做过3000多案例的Dr Cohen, Dr Cohen有中文助手,这点也提供了很多便利。

治疗方案
Dr Cohen给我设计了两个方案,一个中度方案和一个重度方案。

中度不拔牙只片切(打磨牙缝)多颗牙齿0.05mm创造空间, 14副牙套-14周治疗;重度拔右下一颗智齿把牙齿往智齿方向移动,回收牙齿,35副牙套-35周治疗。
两个方案效果都很好,我截图方案图给大家分享了。因为我智齿是横着长阻生的,形成三角形清洁死角,导致前面一颗牙齿蛀牙,加上重度让牙齿收得更多,我最终选择了重度方案。
Dr Cohen真的很尊重病人的意见,我的方案换来换去,他还是不厌其烦的给我设计方案,和我讨论, 是个温柔又耐心的医生。


隐适美价格
隐适美的价格从1600多磅到4000磅,取决于你的牙齿复杂情况和需要的矫正时长。我因为要拔牙,所以需要的牙套副数相对比较多,价格是最高等级的重度。重度的好处是可以无限次追加,还送美白和保持器。

牙套佩戴
重度牙套是每周换一副,一定要佩戴足够的时间,每天最好戴20-22小时。为了保证矫正有好效果,我每天吃饭速度变快了,刷牙次数变多了,每天使用牙线,加上医生叮嘱要定期洗牙,戴牙套后我牙齿健康状况反倒变好了。




💛 总的来说隐适美是个值得的投资,体验也是正面的,虽然每次换牙套是牙齿会有些酸痛,但是每看到自己漂亮的牙齿就觉得一切都值得啦!


Dentexcel地址以及联系方式
作为伦敦最知名的私人牙医诊所之一,总店座落于 “百年世界名医街”的哈利街 (Harley Street),旗下共三家诊所,交通非常便利。
🚩Harley Street:Flat 36 Harmont House, 20 Harley St, London W1G 9PJ
☎️Tel: 020 7636 9393
⏲️Monday – Saturday 09:00 AM – 18:00PM;Sunday By appointment
🚩City:8 Angel Court, Copthall Avenue, London EC2R 7HJ
☎️Tel: 020 7796 9393
⏲️Monday – Saturday 09:00 AM – 18:00PM;Sunday By appointment
🚩 Acton:2b Gunnersbury Lane, Acton, London W3 8EB
☎️Tel: 020 8993 2933
⏲️Tuesday – Sunday 09:30 AM – 18:00 PM
预约咨询面诊








留言