英国All-on-4全口重建:伦敦金融城高级白领牙齿种植经历
- Dentexcel

- 2020年8月22日
- 讀畢需時 5 分鐘
已更新:2025年2月18日
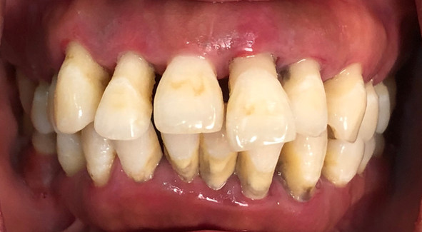
在金融城工作的S小姐找到了Dr Cohen进行笑容改造项目咨询。S小姐外形靓丽,身材高挑,气质出众,但是牙齿问题一直都困扰着她,让她无法开怀大笑。
遗憾的是当时S小姐的每一颗牙齿都已经处于摇摇欲坠的状态了,牙槽骨严重萎缩,并有较严重的牙周炎,影响了牙龈的颜色和口气。这导致简单的牙齿矫正或者牙齿贴片等传统的笑容改造项目已经无法帮助到她,她即将面对的是全口拔牙后进行牙齿种植,以达到全口重建的目的。

面诊当天牙齿照片-09/2018

面诊当天全口X光片-09/2018
治疗方案制定
Dr Cohen在给S小姐拍片面诊完后,坐下来和S小姐面对面地进行了将近一小时的牙齿病情沟通和治疗方案讨论。
Dr Cohen给S小姐看了X光片,很遗憾地告知了她,口内的每一颗牙齿都无法保留下来,它们将在很快脱落,如果不尽快治疗,牙槽骨会进一步萎缩,造成更大的伤害。现在最好的治疗方案是全口拔牙+牙齿种植。
牙齿种植是现在世界上最先进的缺失牙治疗方式,种植体就像天然牙齿一样在牙槽骨内长牢,它们是最接近自然、美观的镶牙方式。牙齿种植后能帮助患者恢复咀嚼功能,并阻碍牙槽骨的吸收。并且种植牙的延续时间长,舒适度高。

然而因为种植牙手术难度大,对医生的经验和技术要求极高,而且种植牙材料价格不菲,导致种植牙的费用一般都不低,全口种植的治疗费用更是让人望而生畏。
在考虑到客户的经济承受能力以及各方面因素,Dr Cohen向S小姐介绍了All-on-4 和All-on-6的种植理念。
All-on-4种植牙技术
All-on-4 全口重建植牙技术由葡萄牙牙医Dr. Paulo Malo在1998年首次实施,每排牙齿只需植入4颗种植体。
两颗垂直植入前牙牙槽骨内,两颗采取倾斜角度植入中远部位牙槽骨内,利用4顆种植体及类似造桥的力学设计原理,将力平均分配,然后在种植体的基台上安装“拱形连桥”牙冠,从而帮助患者恢复牙齿的咀嚼功能。

根据亚洲人的体质以及热衷于咀嚼硬质食物的饮食习惯,牙医在All-on-4的基础上上进行改良,研发出了All-on-6种植牙技术——植入6颗种植体,改善All-on-4易断裂的缺点,增加牙桥的稳固性和持久性。
All-on-4/All-on-6的好处和优势
1. 治疗时间更短
相对于全口种植,可避免耗时的骨移植,治疗时间更短,让患者更加快速的改善生活品质。
2. 降低治疗成本
相对于全口种植,治疗费用能大幅度的减少。
3. 舒适和持久
相对于活动假牙,All-on-4种植能帮助患者恢复咀嚼功能,尽情享受美食,还可避免缺失牙患者产生脸型凹陷或变形的问题。牙桥比假牙稳固舒适,并清洁容易,保养得当可持续几十年。
治疗第一步拔牙
S小姐对Dr Cohen设计的治疗方案很满意,很快的确认了治疗意向并预约了拔牙手术。
因为需要拔除的牙齿较多,为了缓解她的紧张情绪,我们选择了Sedation全麻,让S小姐在拔牙过程中进入浅睡状态。
拔牙后牙床需要一段愈合期才能进行种植,为了帮助S小姐度过缺牙的尴尬期,Dr Cohen保留了几颗牙齿来支撑临时假牙。

拔牙后照片-10/2018

拔牙后佩戴上临时假牙-10/2018
电脑引导种植技术
我们采用电脑引导型植牙手术法,在电脑中的3D立体颌骨中,模拟牙齿种植。在治疗前,Dr Cohen将先进行电脑种植方案设计,在多次修改后,制定好最适合患者的种植方案。

种植时在计算机的指引下,我们能更加精准的植入牙齿,这能节省手术时间,减少手术的不舒适感,最小化手术创伤。
针对S女士的种植案例,Dr Cohen多番考量后最终决定了上排种植6颗种植体,下排种植5颗种植体。

种植电脑方案-10/2018
种植牙手术
在拔牙创口愈合后,下一步就是植入种植体了。

Dr Cohen在11月完成了上颌手术,紧接着12月完成了下颌手术。术后安装临时固定假牙以度过愈合期,种植体在牙槽骨里的愈合好后,再将永久牙桥安装到种植体上。

上颌种植牙-11/2018

下颌种植牙-12/2018
取模制作永久牙桥
在种植体和牙槽骨完美的愈合后,我们就可以帮患者取模,量身制作永久牙桥了。


取模阶段-05/2019
为了设计出最具美感的牙桥,我们会请患者来试戴并根据客户的个人审美进行多次形状、长度、颜色等多方面的调试。
多次调试牙桥-08/2019
最后一步安装永久牙桥
对所有种植牙患者来说,最激动人心的一个步骤肯定是拥有自己的永久新牙齿了。
在多次调试后,S小姐选定了她颜色形状最喜欢、佩戴最舒适的、将陪伴她终身的永久牙桥。
永久牙桥制作完成12/2019
因为COVID-19新冠病毒的影响,诊所关闭了两个多月,导致S小姐的牙桥安装不得不往后延。不过美好的事物都是值得等待的,伦敦封锁解封后,我们第一时间为她安装上了新牙齿。

安装永久牙桥-05/2020
治疗前后效果对比
主治医生
S小姐的案例属于很复杂的全口重建,在找到Dr Cohen之前她也和其他医生进行过会诊。但是由于这个治疗对医生的治疗经验和手术能力有很大的要求,并没有多少医生有自信治疗S小姐。
Dr Keith Cohen 是英国植牙领域的知名专家,他拥有二十余年的植牙经验。他在美容牙科和全口种植领域有很高的声誉,尤其是骨和牙龈移植的治疗。他还同时将他在该领域的知识和技术教授给拥有执照的牙医和牙科研究生。

我们欢迎有种植牙需求的朋友预约植牙咨询检查。
Dentexcel地址以及联系方式
作为伦敦最知名的私人牙医诊所之一,总店座落于 “百年世界名医街”的哈利街 (Harley Street),旗下共三家诊所,交通非常便利。
🚩Harley Street:Flat 36 Harmont House, 20 Harley St, London W1G 9PJ
☎️Tel: 020 7636 9393
⏲️Monday – Saturday 09:00 AM – 18:00PM;Sunday By appointment
🚩City:8 Angel Court, Copthall Avenue, London EC2R 7HJ
☎️Tel: 020 7796 9393
⏲️Monday – Saturday 09:00 AM – 18:00PM;Sunday By appointment
🚩 Acton:2b Gunnersbury Lane, Acton, London W3 8EB
☎️Tel: 020 8993 2933
⏲️Tuesday – Sunday 09:30 AM – 18:00 PM
预约咨询面诊





























留言